「醫師我想要矯正,但可以不要拔牙嗎?」這句話,幾乎是所有矯正諮詢裡常常出現的問題,很多人一想到要拔牙,就開始退縮:怕痛、怕臉凹、怕變老,甚至有人直接問:「那我是不是不適合矯正了?」但其實牙齒矯正不等於一定要拔牙,關鍵在於每個人的條件都不同。今天就由三重康緹診所的齒顎矯正黃淳碩醫師來分享,到底什麼情況需要拔牙、什麼情況可以不拔牙?矯正真的這麼可怕嗎?
什麼情況需要拔牙?什麼情況可以不拔?
牙齒矯正需不需要拔牙,關鍵在於牙齒有沒有足夠的排列空間,如果牙齒過度擁擠、咬合關係異常,無法透過擴弓或骨釘等方式解決,就有可能需要拔牙來創造空間,但如果空間還有調整彈性,像是輕度亂牙或牙弓較寬的人,就有機會透過非拔牙方式完成矯正。
關於「拔牙矯正」你該知道的事
牙齒亂,一定要拔牙才能矯正?
不一定。是否需要拔牙,取決於牙齒排列的空間是否足夠,如果牙齒明顯擁擠,空間不足,醫師會先評估是否能透過牙弓擴張、後退牙齒或使用骨釘等方式解決,拔牙會是最後的選項。在三重康緹診所,黃淳碩醫師會根據每位患者的臉型、骨骼、咬合關係與牙齒排列情況,進行專業診斷,讓療程設計更貼近理想又安全。
拔牙後會不會臉凹,看起來變老?
這個疑慮非常普遍,但答案是不會,前提是術前規劃正確!很多人誤會拔牙等於臉型改變,其實正確的齒顎矯正設計,可以讓嘴唇線條更柔和、臉部比例更協調,反而如果牙齒太外突,進行適當的拔牙矯正後,嘴型會更自然,整體看起來會更有精神、更上相!
我真的不想拔牙,有什麼替代方式嗎?
當然有。現在矯正技術非常多元,有很多情況是可以透過非拔牙方式完成矯正,包括:骨釘輔助移動牙齒或牙弓擴張器等等,都有機會達到理想的效果,不過這些方式是否適用,還是需要根據專業醫師來評估判斷。
別讓「怕拔牙」變成你與理想笑容之間的距離
很多人對牙齒矯正有很多誤解,不只是為了美觀,也包含改善咬合、預防牙周病、減少磨牙等長期健康效果。三重康緹診所提醒大家:「矯正的目的不只為了把牙齒排整齊,而是也要讓整體臉型、咬合與口腔功能達到平衡。」而是否需要拔牙,真的不是非黑即白的選擇題。如果你也在猶豫到底該不該矯正、要不要拔牙,不如先尋求專業醫師進行完整地矯正評估,了解自己的狀況,再安心做決定。
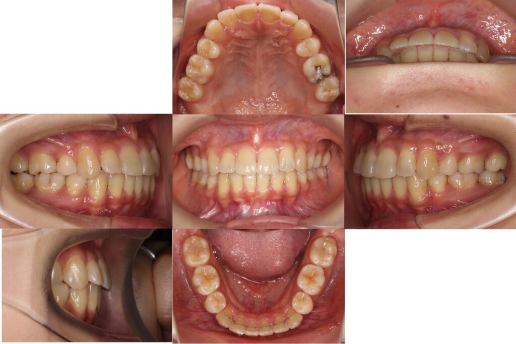
黃淳碩醫師拔牙矯正案例
案例一:拔牙+骨釘矯正後縮,全齒列後移


案例二:拔牙+骨釘矯正後縮,全齒列後移



案例三:拔牙+無骨釘矯正後縮,全齒列後移







